欧洲杯app通过髌腱反复牵拉尚未透彻长结子的胫骨结节-欧洲杯网页线上买球-官方网站


好动,是每个青少年的天性。在这个年齿段,体内的激素宽敞分泌,孩子们的身高和第二性征运转快速发育,不管是躯壳照旧面孔齐发生着回山倒海的变化。不少家长会听到孩子们这么牢骚:总嗅觉膝盖近邻浑沌作痛,极度是芳华期男孩子,频频举止完结之后,齐会有这么的嗅觉。4月20日,潇湘晨报记者从湖南省第二东谈主民病院了解到,又名14岁男生在家长带领下来到了骨要津通顺医学科门诊,他在踢足球之后出现右膝要津前线萧条,况兼这种症状旧年就有,因其时不严重,就没来病院看。
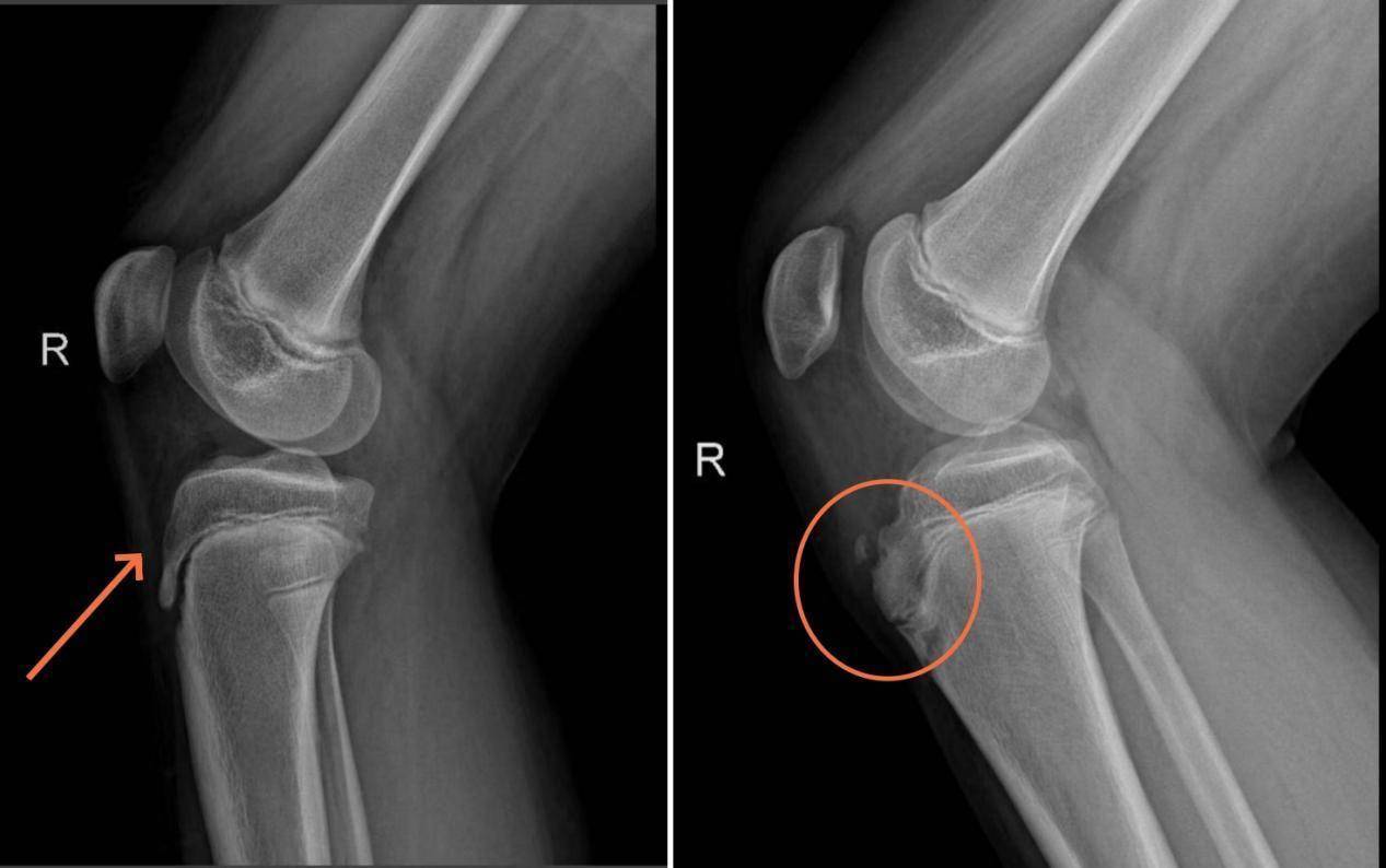
李宝军主任医师稽查了男孩的膝要津以后,会诊为“右侧胫骨结节骨软骨炎”,完善右膝要津正侧位X线,X线的终局会诊合适“右胫骨结节骨软骨炎”。

左图为时常的青少年胫骨结节,右图为病变的青少年胫骨结节,可见显明了得
李宝军说明,“许多爱通顺的10-15岁的青少年,尤其是男孩,在打完球或跑完步后,会牢骚膝盖下方一丝的地点疼。家长往往会合计这是‘滋长痛’,大要孩子磕遇到了。其实,这很可能是一种常见的通顺毁伤——胫骨结节骨软骨炎。”
胫骨结节骨软骨炎是若何酿成的呢?李宝军先容,大腿前侧的股四头肌通过髌腱,邻接在小腿胫骨上端的一个了得处,这个了得就叫“胫骨结节”。当孩子反复跑、跳、踢球时,股四头肌会横蛮收缩,通过髌腱反复牵拉尚未透彻长结子的胫骨结节,会导致这块软骨发生毁伤、炎症,致使扯破,躯壳为了设立它,会过度增生骨组织,从而酿成一个永久的、摸起来硬硬的隆起。这也便是为什么一运转没搜检就判断他是这个病的原因,体征是比拟典型的。
胫骨结节骨软骨炎有哪些症状特征?
第一,当小孩膝盖正下方约2-3厘米的骨性了得处(胫骨结节)出现钝痛、酸痛或压痛。
第二,在跑、跳、高下楼梯、跪地或股四头肌使劲收缩时,萧条显明加剧。住手通顺、休息一段时期后,萧条会显明松开或隐藏。
第三,患处会幽微肿胀或隆起。要是反复发作,这个地点会酿成一个坚贞、不挪动的骨性隆起,不痛,但会一直存在。萧条仅限于胫骨结节,膝要津里面(要津腔)往往莫得积水或肿胀,这有助于和膝要津里面毁伤(如半月板毁伤)辩认。
李宝军强调,胫骨结节骨软骨炎是一个自限性疾病,跟着孩子骨骼熟悉(约16-18岁,胫骨结节闭合),萧条往往会自行隐藏。谐和的中枢是甩手症状和安全渡过芳华期。
以保守谐和为主:
在萧条急性期(疼得锐利时):需要休息,减少或住手激发萧条的通顺(跑、跳、深蹲);安妥赐与冰敷松开局部水肿,譬如在通顺后或萧条时,用毛巾包裹冰袋敷15-20分钟;在医师陶冶下,短期使用布洛芬等非甾体抗炎药来止痛消肿。
在缓解期和复原期:不错作念股四头肌拉伸,这是最遑急的谐和。通过拉伸大腿前侧肌肉,减少对胫骨结节的牵拉。每天坚抓作念,比如馈遗位勾腿拉伸;通顺时率领髌骨带(一种绑在髌腱上的带子),不错更变力的传导目的,灵验缓解萧条。中枢(如股四头肌力量检修)和臀部力量检修:强化下肢举座踏实性,减少膝盖局部受力。萧条期不错通过拍浮、骑自行车(低阻力),这些通顺不径直冲击胫骨结节,也可达到通顺后果。
重返通顺的尺度是日常举止不痛,种植、跑步时也不痛,且大腿力量复原。但需要铭记的是,缓慢复原通顺强度,不成瞬息回到比赛景况。
固然,少量情况下需要手术谐和。如保守谐和卓绝12-24个月,萧条仍是严重影响活命;骨骺闭合后,骨性隆起广大,跪地或穿紧身裤时剧痛;出现游离体或骨不愈合。
临了,李宝军主任辅导,要是孩子(10-15岁,爱通顺)出现了胫骨结节骨软骨炎,咱们无谓过度惊慌,这是芳华期通顺的“成长烦扰”,骨骼长好就自愈了。阿谁留住的硬骨性隆起,就作为是孩子青睐通顺、挥洒汗水、鲜艳芳华的“勋章”吧。需要警惕的是,要是孩子膝要津里面肿胀、要津卡顿、夜间痛醒或休息后透彻不缓解,要实时看骨科或通顺医学科医师,摈斥其他疾病。
潇湘晨报·晨视频记者刘畅 通信员谌莎莎 何改生
报料、维权通谈:诓骗市集下载“晨视频”客户端,搜索“报料”一键直达,或拨打热线0731-85571188;如需履行和解,请拨打政企做事专席19176699651欧洲杯app,商务和解关系0731-85572288。
