2024欧洲杯官网入口还容易引起血压、肾功能、心血管方面的问题-欧洲杯网页线上买球-官方网站

王奶奶突发眼睑浮肿,本以为是老年常见的“水肿”问题,喝了几剂中药利水也没好。去病院复查时2024欧洲杯官网入口,化验后果一出,大夫心情凝重:白血病可能性很高。
这一论断让全家惶恐。
家属回忆近半年,王奶奶经常食用腌腊肉、罐头零食,还有险些每顿齐要上油炸糕点。
大夫说,这3类“常吃食物”其实是躯壳代谢与造血系统的隐患,恒久摄入可能加多血液系统压力,诱发或加快额外。
今天这篇著述,咱们就从王奶奶的故事提及,带你了解——哪些饮食俗例可能让血液系统“扛不住”、促使白血病辩别学问?
食物不是“祸根”?好多东说念主合计白血病是基因或辐照线引起的,与普通吃什么关连不大。
其实,诚然白血病的发病机制复杂且尚无定论,但“内在环境” 便是影响东说念主体造血系统牢固性的要道之一。
在医学与养分学界,有以下不雅点撑合手“饮食因素” 与 白血病 / 骨髓额外 的潜在关联:
诚然现在莫得可靠根据可解释 油炸食物会成功导致白血病,但高油、高脂、高盐饮食被认为是多种癌症 / 慢性病的风险因素之一。 在白血病患者饮食提出中,常被强调要 幸免油炸、辛辣、加工食物、食材要簇新煮熟。 在白血病养分照看指南中,也常见“戒烟限酒”、幸免浓重、铁心脂肪摄入的提出。换句话说,饮食并非唯独因素,但可能是“助推器”——在东说念主体已有潜在危境因素的条款下,加剧代谢、免疫或造血职守,从而使白血病或骨髓额外更易表示。
那么,王奶奶那3类食物是哪些?为什么会被大夫点名?接下去咱们分段分析。
坚合手吃那3类食物,几月后躯壳可能出现这3种变化这些食物不一定立即“搞出白血病”,但在造血系统或骨髓已潜伏额外的个体中,可能让躯壳冉冉向失衡迈进。
以下几种常见食物,照实值得警惕。
1. 腌腊肉、烟熏成品 腌腊成品中常含亚硝酸盐、硝酸盐等添加剂,这些物资在东说念主体内可能滚动为亚硝胺,具有潜在的致癌性。 同期高盐、高脂的腊肉还可能损害肝脏与肾脏,加剧代谢职守,对骨髓迤逦酿成“不良环境”。 恒久大齐食用腊肉,还容易引起血压、肾功能、心血管方面的问题,成为多种慢病的“齐集负荷”。2. 罐头 / 加工食物(含防腐剂、亚硝酸盐、添加剂) 罐头、腌渍、即食食物经常流程高温、加盐、添加剂惩办,其中可能含有防腐剂、亚硝酸盐、致癌物残留等。 此外,加工食物中常含较高的反式脂肪、实足脂肪、盐分与糖分,对躯壳酿成恒久慢性“炎症”压力。 在白血病患者饮食提出中,鄙俚强调应 幸免加工食物、罐头、隔夜食物,以缩小感染风险与不良响应风险。好大夫3. 油炸、高脂零食、高糖糕点 诚然现在尚无明确根据标明油炸食物不错成功致白血病,但恒久摄入高油脂、高热量食物已被证据与代谢交集、慢性炎症、免疫功能额外商酌。 这类食物还可能酿成脂肪肝、胰岛素违反、痴肥等代谢抽象症,这些本人就会对躯壳造血系统、免疫系统施加更大的压力。 在白血病患者照看中,也提出幸免油炸、辛辣刺激食物,以削弱机体炎症、促进收复。好大夫
若恒久坚合手这些饮食俗例,几月后可能出现以下症状:
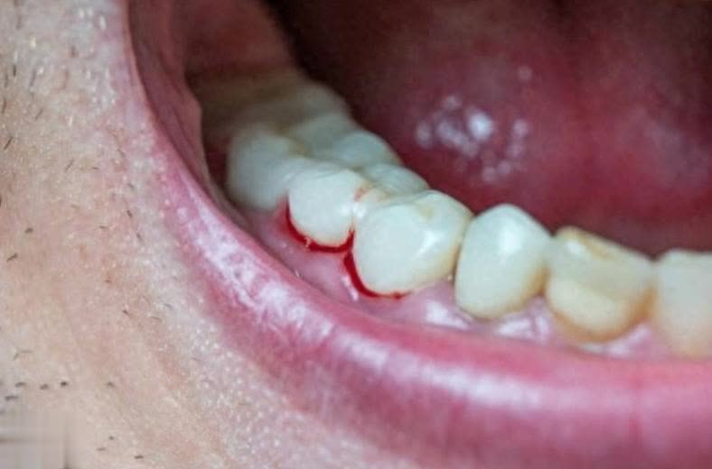
脂肪肝、肝功能额外目的(ALT、AST 高涨) 乏力、贫血推崇(昏倒、心慌、神采惨白) 免疫力下跌、感染频发、出血倾向(牙龈出血、鼻出血)这些齐可能是白血病发病或骨髓额外的“共病环境”助因。
提出这么作念,这4招匡助辩别“饮食助推”风险饮食不是一起,但退换饮食俗例是咱们可控的因素之一。
底下 4 招,能帮你防范造血系统健康、缩小风险:
提出这么作念,这4招匡助改善1. 优选自然、清淡、少加工程的食材
多吃簇新蔬菜、生果、全谷、优质卵白(鱼、禽、豆成品) 减少腌制、腊制、罐头、加工肉类摄入2. 铁心油脂与加工食物
烹饪用油宜聘请好油(橄榄油、亚麻籽油、坚果油等),不要反复高温炒炸 零食聘请原味或低油低糖的坚果、生果干等,尽量避让油炸薯片、饼干等高脂零食3. 适量而非极点节食 / 养分不良
年父老本人摄取才调下跌,不宜极点铁心热量。要作念到 “不外度” 而非“统共断油断脂” 养分应平衡:卵白质、微量元素、维生素、矿物资齐应合理补充4. 如期体检 + 血液监测
提出每年作念一次血通例(白细胞、红细胞、血小板等) 若有眷属或既往病史,每半年查验肝功能、肾功能、脂类代谢等 若出现白细胞额外、血小板额外、贫血等目的额外,应进一步到血液科评估骨髓情状大夫补充:饮食仅仅“风险因素之一”,若被确诊为白血病 / 骨髓额外,必须实时运行法式调养,不可依赖饮食退换替代正规调养。
健康,其实藏在每一餐的聘请中你以为“吃肉、吃点加工食物没事”,可能却在“给血液系统埋雷”;你以为白血病海北天南,后果近在口中的那些“俗例性食物”在偷偷助推风险。
78 岁的王奶奶眼肿看似小事,背后却可能是体内代谢、造血系统发出的警报。
退换饮食、警惕高风险食物,是咱们每个东说念主齐不错作念的“防地前移”。
自然,饮食退换不可替代医学诊疗。
若你或家东说念主出现血液系统额外迹象(如乏力、出血、感染鄙俚、白细胞额外等),请务必实时就医、经受正规查验与调养。
⚠️ 注:文中所涉东说念主物均为假名,请勿对号入座;图片开头视觉中国授权。
本文骨子仅作健康科普信息参考,不组成会诊或医疗提出。
参考府上:
1.《中国食物身分表(第六版)》2.《白血病养分与饮食》3.《白血病腐臭与康复:生涯表情与养分提出》4.“急性白血病患者的养分与饮食照看”报说念5.白血病患者饮食要提防什么 — 百度百科 / 医疗著述6.《白血病十大忌口》健康科普著述2024欧洲杯官网入口
